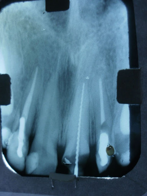
(4663) Endodontia - Canal de Incisivo Central Superior

Radiografia de Medição (Odontometria)

Nova medição após fratura da coroa durante o tratamento.

Radiografia Final

(3997) Traumatismo na Face - Odontologia Integrada

Aspecto da boca após traumatismo e suturas, principalmente internas

Dente 11 multigraturado e 21 com fratura da parte incisal Classe 4

Dente 11 já sem os pedaços fraturados e com o acesso ao canal dentário.

Polpa dentária ou como conhecemos por nervo.

Pedaços fraturados.




Início da Reconstrução do dente após o canal feito.


Acessando o canal para colocação do Pino de Fibra de Vidro.



Aspecto Final. Coloração do dente do lado sugere hemorragia Interna. Acompanhando.

(4086) Prótese - Prótese Total superior

Aspecto frontal da prótese total

Perfil sem a prótese superior.

Sorriso com a nova prótese superior

Perfil com a nova prótese total

(3921) Cirurgia - Cunha Distal

Tecido mole em posterior do 2 molar, inflamado.

Incisão

Sutura

Tecido removido na Cunha Distal